There’s a virus you may have never heard of before that is estimated to infect up to 90 percent of people and lurks quietly in your cells for life—but if it becomes activated, it will destroy your brain. If that’s not startling enough, researchers reported this week that there may be a new way for this virus to activate—one that affects up to 10 percent of adults worldwide.
The virus is the human polyomavirus 2, commonly called either the JC virus or John Cunningham virus, named after the poor patient from whom it was first isolated in 1971. It shows up in the urine and stool of infected people and spreads via the fecal-oral route. Many people are thought to be infected early in life, and blood testing surveys have suggested that 50–90 percent of adults have been exposed at some point.
Researchers hypothesize that the initial site of infection is the tonsils, or perhaps the gastrointestinal tract. But wherever it happens, that initial infection is asymptomatic. At that point, a person is infected with what’s called the archetype JC virus, which quietly sets up a persistent but utterly silent lifelong infection.
For the vast majority of people, that is all their JC virus infection will be—silent. But for an unlucky few, the JC virus will seemingly awaken, rearrange its genetic material, and morph into a brain-demolishing nightmare that causes a disease called progressive multifocal leukoencephalopathy or PML.
Devastating disease
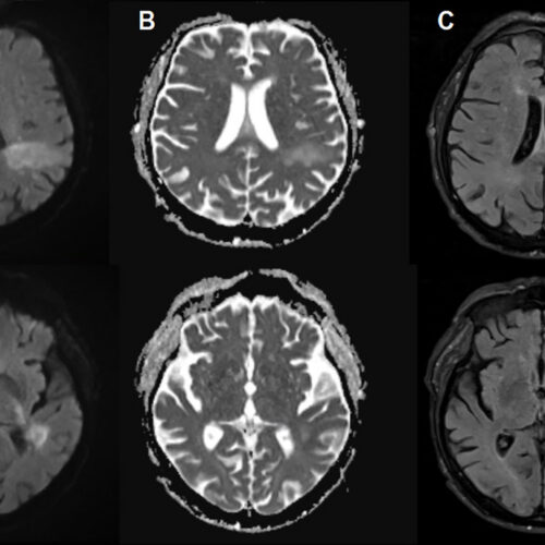
In PML, the new disease-causing virus or “PML-type” JC virus actively invades the brain, blowing up specific brain cells, including the cells that form the insulating myelin sheaths that protect nerve cells. This leads to extensive demyelination, which results in nerve cell dysfunction and death. On imaging, PML can show up as signature lesions in the brain. Those imaged lesions, paired with test findings of JC virus DNA in cerebrospinal fluid, are how PML is diagnosed. But for patients experiencing PML, the symptoms can mimic everything from a stroke to multiple sclerosis, causing problems like speech impairments, visual defects, motor dysfunction, and seizures.
PML was first identified in 1958 in a cancer patient. But it was considered an extremely rare condition until the 1980s, when it started to be seen in patients with HIV/AIDS. In fact, PML became an AIDS-defining disease, with 2–5 percent of HIV-infected patients developing it in the early phase of the epidemic. At that point, the condition was uniformly fatal. But with the introduction of highly active antiretroviral therapy (HAART) in 1996, PML cases declined, and the disease was no longer a death sentence, though survivors often have significant lasting damage.
