, /PRNewswire/ — AZmed, one of the leading companies in artificial intelligence (AI) for radiology, announced today the CE marking of AZnod, its first AI tool for computed tomography (CT) within the new Rayscan® product line. This expansion complements AZmed’s existing Rayvolve® AI Suite, extending the company’s portfolio beyond standard X-rays to include advanced CT-based analysis.
AZnod is designed to aid lung cancer screening programs by providing standardized detection and comprehensive characterization of pulmonary nodules on CT scans.
Lung cancer screening procedures place an interpretive load on medical imaging teams who must evaluate low-dose CT exams and detect small early-stage nodules, which can take several forms such as solid, part-solid, or pure ground-glass. Subsolid nodules can be challenging to visualize and are important to detect early to improve survival. It is essential for radiologists to provide reproducible assessments within guideline frameworks such as Lung-RADS and Fleischner, knowing that even minor dimensional or volumetric changes can change patient management.
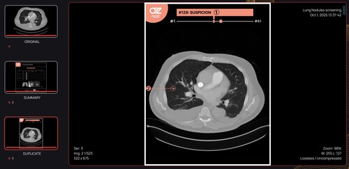
AZnod analyzes each slice of a CT to identify nodules between 3 mm and 30 mm. The system evaluates them, provides measurements of volume, long-axis diameter, and perpendicular diameters, and indicates the exact CT slices where they appear. It then classifies the detected nodules according to density, contour morphology, internal composition, and positioning in the lungs, which supports guideline-aligned clinical assessment without changing existing diagnostic workflows.
The AI model processes images that are strongly pseudonymized and returns structured radiology output to the user. The system provides a single report listing each nodule by clinical priority, with annotated views of size and standardized measurements in millimeters and cubic millimeters, along with its diagnostic attributes, as well as an anatomical lung schematic intended to allow rapid review in the assessment of nodules.
The AI tool is now available for adoption by healthcare providers in CE markets. For more information, contact the AZmed team.
About AZmed:
Founded in 2018, AZmed is a European MedTech company developing AI solutions for medical imaging. Its Rayvolve® AI Suite includes FDA-cleared and CE-marked tools, while its Rayscan® line is CE-marked. Used by more than 2,500 healthcare facilities worldwide, AZmed’s solutions improve diagnostic consistency and operational efficiency in medical imaging. Additional resources on AI-supported fracture detection and chest imaging are available on AZmed’s website.
Photo: https://mma.prnewswire.com/media/2845576/AZmed.jpg
Logo: https://mma.prnewswire.com/media/2646196/AZmed_Logo.jpg
CONTACT:
Moshank Relia
[email protected]
SOURCE AZmed

